[30 / 10 / 22]
Quoted By: >>19123730 >>19123732 >>19123733 >>19123734 >>19123740 >>19123742 >>19123744 >>19123749 >>19123753 >>19123754
Doctors have reported an astonishing case of a young woman with an enormous vagina stone nestled among her pelvic organs.
The stones are exceptionally rare - with fewer than 100 reported in recent medical literature.
They happen when stagnant urine builds up in the vagina to form hardened crystals.
This typically is triggered by an untreated bacterial infection. The bugs react with chemicals in urine to create an environment that encourages the liquid to harden.
People with diseases that mean they are often bedbound are most at risk, as bacteria and urine are more likely to remain inside the vagina for longer.
The most recent case, reported in the journal Urology Case Reports, featured a 27-year-old patient with cerebral palsy who was bedridden.
The woman visited the emergency department after developing a fever and chills that lasted three days.
She was also eating less food than usual, was vomiting and suffered severe abdominal pain.
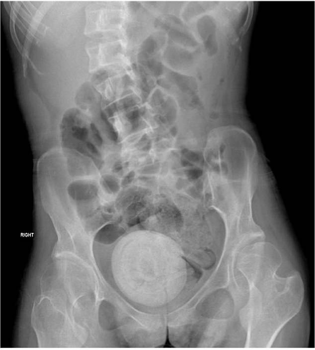
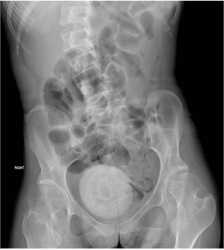
Doctors said she looked pale and lethargic. A CT scan was performed on her abdomen and pelvis, and images showed a large, round mass in her pelvic area.
https://www.dailymail.co.uk/health/article-12785081/vagina-stone-size-orange-inside-woman.html
The stones are exceptionally rare - with fewer than 100 reported in recent medical literature.
They happen when stagnant urine builds up in the vagina to form hardened crystals.
This typically is triggered by an untreated bacterial infection. The bugs react with chemicals in urine to create an environment that encourages the liquid to harden.
People with diseases that mean they are often bedbound are most at risk, as bacteria and urine are more likely to remain inside the vagina for longer.
The most recent case, reported in the journal Urology Case Reports, featured a 27-year-old patient with cerebral palsy who was bedridden.
The woman visited the emergency department after developing a fever and chills that lasted three days.
She was also eating less food than usual, was vomiting and suffered severe abdominal pain.
Doctors said she looked pale and lethargic. A CT scan was performed on her abdomen and pelvis, and images showed a large, round mass in her pelvic area.
https://www.dailymail.co.uk/health/article-12785081/vagina-stone-size-orange-inside-woman.html
