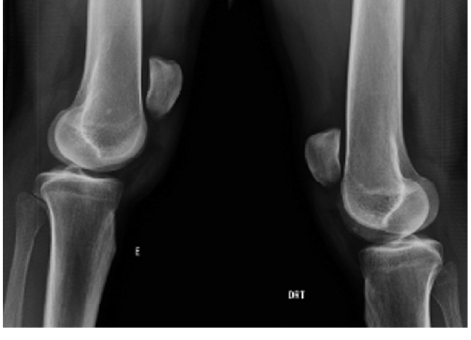
>>100936849She has patella alta, which basically means her kneecap is higher than it should be. Some random google images for example but the leg on the right is normal here, while the one on on the left has patella alta. It doesn't look like much but it means her balance is pretty fucked so she trips, stumbles, falls over, etc much easier than most people and can
as happened recently outright dislocate her knee if she's not careful.
But also yes she has a big ass and Froggy sex.